
Icon®(アイコン)セミナー講師*が
院長(開設者・管理者)を務める
国内唯一の歯科医院
*販売元:株式会社ヨシダ公認
歯科医師向けにセミナーを多数実施
ホワイトスポットの専門家に
お任せください
![]()
Icon®(アイコン)の使用法を他の歯科医師に指導している院長(株式会社ヨシダ公認Icon®(アイコン)セミナー講師)がカウンセリングから治療、フォローアップまで直接担当いたします。Icon®(アイコン)治療で失敗したくない方は上野品川歯科・矯正歯科へ。
このようなお悩みがある方は、ぜひ当院までご相談ください。
Icon®(アイコン)治療の
パイオニアにお任せください
- 歯を可能な限り削りたくない
- 自然な仕上がりにしてほしい
- 実績のあるドクターに治療してほしい
- 難しい症例で他院に断られた
安心の10年保証
当院のホワイトスポット治療は、10年間の保証がございます。治療後、後戻りした場合は無償で再治療を行っております。
※但し術後の経過観察と、1年に1度経過観察に来院が要件となります。
日本で初めて
前歯のIcon®(アイコン)治療の
症例が学会誌で掲載されました
日本歯科審美学会の学会誌に
掲載された論文
日本歯科審美学会の学会誌「歯科審美」(Vol.37 No.1)に日本で初めて前歯のIcon®(アイコン)の症例が掲載されました。
Icon®(アイコン)治療における
日本語治療名を創造した立役者

論文内で使用した「低粘性レジン浸潤法」「深部レジン浸潤法」という言葉は、Icon®(アイコン)治療の英語の正式名称である「resin infiltration technique」「deep infiltraion technique」という言葉を院長が日本語訳したものです。
2020年から講演などで使用していましたが、この論文で採用されたことで学会などで正式に認められ、他院のHPなどでも多く使用されています。
前歯のホワイトスポット治療
(Icon®(アイコン)治療)の
日本初の学会講演を行いました

2024年12月7日〜8日に徳島で行われた日本歯科審美学会第35回学術大会にシンポジストとして招待され、前歯のホワイトスポット治療(Icon®︎(アイコン)治療)について日本で初めて学会講演を行いました。
著名な教授陣・先生方とご一緒させていただいた中での発表で、私自身もかつてないほど緊張致しましたが、皆様に助けていただき無事発表を終えることが出来ました。




ありがたいことに反響は非常に良く、発表時のディスカッションや懇親会にて多数のご質問を頂きました。以前よりもホワイトスポット治療が着実に浸透し、多くの歯科医師の先生方にご興味をお持ちいただいていることを実感いたしました。
また、TOOTH CREATE TOKYO院長の指宿隆秀先生とご一緒させていただきポスター発表も行いました。

ホワイトスポット治療のポスター発表は2020年・2023年にも行っており今回で3回目です。私は日本中のホワイトスポットで困っていらっしゃる患者様に貢献したいと思っておりますが、院内で治療できる患者様の数には限りがございます。
そこで、このような他の歯科医師の先生方、日本の歯科界へ向けた活動を通してさらにホワイトスポット治療を認知していただくことで間接的にもホワイトスポット治療の普及に努めております。
ホワイトスポット治療(Icon®︎(アイコン)治療)をご希望の患者様は、こちらよりご連絡ください。
また、歯科医院様よりホワイトスポット治療(Icon®︎(アイコン)治療)の患者様のご紹介も随時受け付けております。
ご紹介に関しましてはこちらをご覧ください。
▼ホワイトスポット治療(Icon®︎(アイコン)治療)をご希望の患者様はこちらよりご連絡ください。
▼歯科医院様よりホワイトスポット治療(Icon®︎(アイコン)治療)の患者様のご紹介も随時受け付けております。
ホワイトスポットに対する
Icon®(アイコン)治療の論文が
業界最大手の歯科雑誌に
掲載されました

当院院長による26ページにわたる論文がザ クインテッセンス誌に特集として掲載されました。出版元のクインテッセンス出版様は本社がドイツにあり、世界中に支社を持つ業界最大手の歯科雑誌社です。本誌において前歯のホワイトスポットの診断と治療に関する論文が掲載されるのは初めてのことです。
当院では2019年2月9日の開院当初よりホワイトスポット治療に取り組んで来ましたが、その当時はホワイトスポット治療を行っている医院がとても少なく、このような特集を組んでいただけるような注目を集めておりませんでした。近年日本でもホワイトスポット治療を行う医院が増え、この治療法に注目が集まるようになり大変嬉しく思います。
この論文によって歯科関係者の方々のホワイトスポットに対する理解が深まり、ホワイトスポットで悩んでいる患者様が1人でも多く笑顔になれるよう願っております。このような大変貴重な機会を頂き、口腔内写真等の使用に同意いただいた患者様、クインテッセンス社の皆様に改めて感謝申し上げます。
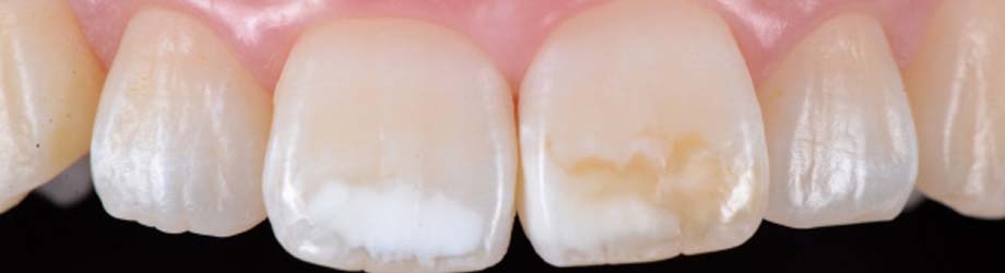
前歯の白い点が気になる、、
それはホワイトスポットです。
ホワイトスポットとは
ホワイトスポット(白斑)とは、初期う蝕(虫歯)または形成不全による歯のエナメル質という表面構造の白濁を指します。本来透明なエナメル質が様々な原因で磨りガラス様になり、光が散乱してしまうことでホワイトスポットとして見えてしまいます。
初期う蝕によるホワイトスポットは、白斑病変、white spot lesions (WSLs)とも呼ばれます。白濁部分にタンパク質が混入していると着色を伴い、色味によってイエロースポット、ブラウンスポットと呼ぶこともあります。
ホワイトスポットの原因について

初期う蝕の場合はお口の中の細菌によって発生した酸で歯の表面が溶かされ(脱灰)、エナメル質の構造が壊されてしまうことでホワイトスポットが出来ます。
形成不全の原因には、乳幼児期のフッ素の過剰摂取による歯のフッ素症、乳歯をぶつけた際に顎の骨の中の完成前の永久歯を傷つけてしまう外傷、その他遺伝的・環境的な様々な要因によって生える前に元々エナメル質が正常に作られなかったエナメル質形成不全などがあります。
特に第一大臼歯(6歳臼歯、前から6番目の歯)と前歯に好発する形成不全が近年小児に多発しており、これらはMIH(molar incisor hypomineralisation)と呼ばれ、現在大きな問題になっています。
ホワイトニングで治すことはできますか?
ホワイトニングで治すことはできません。
むしろホワイトスポットがより目立つようになります。
ただし、Icon®(アイコン)治療では先にホワイトニングを行った方が良い場合があります。
削らないホワイトスポット治療
ならお任せください

上野品川歯科・矯正歯科院長の品川淳一です。
前歯の表面に目立つ白斑(ホワイトスポット)があってお悩みの方はいらっしゃいませんか?
このホワイトスポットは、子供の頃に歯が生えた時から既にあったり、矯正歯科治療を受けた後に出来たりすることがあります。
歯科医院でも削る必要はないからそのままで良いと言われたり、逆に削って治さないといけないと言われたりした方もいらっしゃるかも知れません。その中で、ホワイトスポットの見た目が気になっている方へのIcon®(アイコン)を用いた治療は、歯を全く削らずに治すことが出来るため、非常に有用であると考えています。
2020年〜2025年の歯科医師向けセミナー
ホワイトスポット治療に関して、カウンセリングから治療、フォローアップまで、院長が直接担当いたします。
ホワイトスポット治療を受けられた
患者様の声
少しでも患者さんにとってより良い歯科医療を提供するため、第三者機関に依頼して患者さん満足度調査を行っています。率直なご意見をいただき、改善すべき点は真摯に受け止めていきたいと思っております。当院には患者さまの個人情報は一切伝えられませんので、 是非、温かいお言葉、おしかりのお言葉、たくさんお寄せ下さい。
治療のご予約は「ご予約・お問い合わせ」を
ご利用ください。
ホワイトスポットの治療法
ホワイトスポットは自然に治る?
自然に治るホワイトスポットもあります。それはワイヤー矯正で使うブラケット(歯の表面に貼り付けて、ワイヤーを通す金属やセラミックの粒)周囲にできたごく初期のむし歯によるホワイトスポットです。
矯正歯科治療終了後ブラケットを外すと、全体の約41%は改善し、約2.8%は消失したという研究があります。( Mattousch TJ, van der Veen MH, Zentner A. Caries lesions after orthodontic treatment followed by quantitative light-induced fluorescence: a 2-year follow-up. Eur J Orthod. 2007 Jun;29(3):294-8.)
これはブラケットをつけると汚れがたまりやすくなりむし歯になりやすい状態だったのが、ブラケットを外すことで元の虫歯になりにくい状態に戻ったためと考えられます。しかしながらこれはとても特殊なケースで、それ以外のホワイトスポットは自然には治りません。
フッ化物(フッ素)を使うことで改善することもありますが、これは歯が生えた時にはホワイトスポットがなく、後からむし歯によってホワイトスポットができた場合だけです。
また、ごく初期でないと見た目の改善は望めません。
そしてエナメル質形成不全のホワイトスポットは、最初から歯の構造が変化してしまっているため、見た目を改善するためには何らかの治療が必要です。
以前はホワイトスポットの見た目を治すために、ホワイトスポットを削りとることが行われてきましたが、ホワイトスポットを削り取らずに治療する材料がドイツで開発されました。それがIcon®︎(アイコン)です。Icon®︎(アイコン)はこれまでの治療法とは全く考え方が異なり、ホワイトスポットの空洞化した、スポンジ状のエナメル質に低粘度のレジンを浸透させることで歯の補強と見た目の改善を行うための材料です。
この治療法は、正式にはresin infiltration technique(低粘性レジン浸潤法、日本語名は当院院長が命名)と呼びます。
元々は初期むし歯のホワイトスポット治療のために開発されましたが、近年エナメル質形成不全にも有効であることが証明され、現在ではむしろエナメル質形成不全に対して世界中で使用されるようになりました。
セルフケアでできること
歯磨きの工夫
初期むし歯の場合には、フッ化物配合の歯磨剤を適切に使用することで改善する可能性があります。(図1)
一般社団法人 日本口腔衛生学会, 公益社団法人 日本小児歯科学会, 特定非営利活動法人 日本歯科保存学会, 一般社団法人 日本老年歯科医学会. 4学会合同のフッ化物配合歯磨剤の推奨される利用方法. 2023年1月1日
※横スクロールできます
| 年齢 | 使用量(※1) | フッ化物濃度(※2) | 使用方法 |
|---|---|---|---|
| 歯が生えてから2歳 | 米粒程度 (1~2mm程度) ![]() |
900~1,000 ppmF |
・フッ化物配合歯磨剤を利用した歯みがきを、就寝前を含め1日2回行う。 ・900~1,000 ppmFの歯磨剤をごく少量使用する。歯みがきの後にティッシュなどで歯磨剤を軽く拭き取ってもよい。 ・歯磨剤は子どもの手が届かない所に保管する。 ・歯みがきについて歯科医師等の指導を受ける。 |
| 3~5歳 | グリーンピース程度 (5mm程度) ![]() |
900~1,000 ppmF |
・フッ化物配合歯磨剤を利用した歯みがきを、就寝前を含め1日2回行う。 ・歯みがきの後は、歯磨剤を軽くはき出す。うがいをする場合は少量の水で1回のみとする。 ・こどもが歯ブラシに適切な量の歯磨剤をつけられない場合は、保護者が歯磨剤をつける。 |
| 6歳~成人 (高齢者を含む) |
歯ブラシ全体 (1.5cm〜2cm程度) ![]() |
1,400~1,500 ppmF |
・フッ化物配合歯磨剤を利用した歯みがきを、就寝前を含め1日2回行う。 ・歯みがきの後は、歯磨剤を軽くはき出す。うがいをする場合は少量の水で1回のみとする。 ・チタン製歯科材料(インプラントなど)が使用されていても、自分の歯がある場合はフッ化物配合歯磨剤を使用する。 |
※1:写真の歯ブラシの植毛部の長さは約2cmである。
※2:歯科医師の指示によりう蝕のリスクが高いこどもに対して、1,000ppmFを超える高濃度のフッ化物配合歯磨剤を使用することもある。
市販品・ホワイトニングとの違い
ホワイトニングを行うことで、薄いホワイトスポットの場合には歯の色自体が白くなることで目立ちにくくなる可能性があります。
しかし重度のホワイトスポットや、着色でホワイトスポットが隠れていた場合にはかえってホワイトスポットが目立ってしまう場合があります。ホワイトニングの前には、ホワイトスポットがないかどうか確認することが重要です。
歯を削らない Icon®(アイコン)治療
ホワイトスポットの部分のエナメル質の中には気泡が入ってしまっており、エナメル質と空気・水の間の光の屈折率の差から、光が散乱します。
Icon®(アイコン)治療とは、この気泡の部分にエナメル質と近い屈折率を持ったIcon®(アイコン)の樹脂成分(TEGDMA)を浸透させることで屈折率を改善し、ホワイトスポットを目立たなくする治療法です。
気泡部分にタンパク質が混入したイエロースポット、ブラウンスポットの場合には、Icon®(アイコン)治療に先立ちホワイトニングで色素を除去する必要があります。
さらに、エナメル質の形態異常も伴う場合には、コンポジットレジン修復を併用して形態も改善します。
平均通院回数:2~3回(検査・診断を除く)
*白帯など、適応とならない場合があります。
*樹脂を浸透させるため、経年的に着色することがあります。着色は研磨によって除去できる場合があります。
ホワイトスポット治療の費用はどのくらい?
治療方法別の相場をご紹介
ホワイトスポット治療の費用は何で変わる?
ホワイトスポット治療を保険診療で行う場合、フッ化物応用(フッ素の塗布)コンポジットレジン充填(ホワイトスポットを全て削り取り、白い詰め物を詰める)しか選択肢がありません。
自由診療ではいくつかの選択肢があります。
低侵襲な物から、フッ化物応用・ホワイトニング・マイクロアブレージョン(オパールーストラ®︎)・低粘性レジン浸潤法(Icon®︎(アイコン)治療)・自由診療のコンポジットレジン修復・ラミネートベニアがあります。治療法により費用は大きく変わります。
治療法別 費用比較表
※横スクロールできます
| 治療方法 | 価格帯 | 特徴 | 保険適用(⚪︎or×) |
|---|---|---|---|
| Icon®(アイコン)治療 | 30,000~100,000円/1歯 | ・歯を削らずに治療が可能(症例による) ・歯を強化するため、虫歯になりにくく、酸に溶けにくくなる ・最短1回で終了 |
× |
| フッ化物応用 | 約300円 | ・初期虫歯を再石灰化させる ・初期虫歯による、薄いホワイトスポットにしか効果がない ・一度では効果がなく、数ヶ月〜年単位での継続が必要 |
⚪︎ |
| コンポジットレジン充填 | 約1,000円/1歯 20,000円〜50,000円/1歯(自由診療の場合) |
・ホワイトスポットを削り取って詰め物で治す治療 ・ホワイトスポットを全て削り取ると、深さ1mm以上の穴が空いたり内部の象牙質にまで達することがある ・自由診療のコンポジットレジン充填の方がより綺麗に、長持ちする |
⚪︎ |
| ホワイトニング | 20,000円〜100,000円 | ・歯全体の色を白くすることでホワイトスポットを目立たなくする方法 ・ホワイトスポットは完全には消えず、 重度のホワイトスポットの場合には逆に目立つようになることもある |
× |
| マイクロアブレージョン | 5,000円~10,000円/1歯 | ・研磨剤でホワイトスポットを削り、目立たなくする方法 ・比較的安価だが、歯を削り取るので歯が少し薄くなる ・完全にはホワイトスポットは消えない |
× |
| ラミネートベニア | 50,000円~200,000円 | ・歯の表面を薄く削り、セラミックを貼り付ける ・最も綺麗になり長持ちするが、削る量も最も多い |
× |
他院との費用差の理由
保険診療は日本全国一律で治療費が決まっています。対して自由診療は医院が自由に費用を設定出来るため、治療にかかる時間、材料費、設備費、保証料などから設定されます。
ホワイトニングは薬剤の費用や知覚過敏処置を行うかどうかにより、費用が変動します。
ラミネートベニアは型取りや仮歯の作製、装着時に時間がかかることやセラミックを歯科技工士に依頼して作製するため材料費が高くなり、費用が高くなります。
一方でコンポジットレジンやマイクロアブレージョンは基本的には一回の治療で終了し、材料費があまりかからないために費用が安くなります。
Icon®︎(アイコン)治療は材料費が高く、治療が複数回に渡ることもあるために費用が高くなります。
いずれの治療も、十分な材料を使用して丁寧な治療を行い、さらに長期間保証を行うと費用が高くなり、そうでない場合には費用が安くなります。
Icon®(アイコン)治療の流れ
① ホワイトスポット相談

① ホワイトスポット相談
ホワイトスポットの範囲、深さ、タンパク質成分による着色の有無、形態異常の有無を診断し、Icon®(アイコン)治療の可否、術前のホワイトニングの必要性の有無、コンポジットレジン修復の併用の必要性の有無を診断します。Icon®(アイコン)治療が適応できない場合、他の治療法をご説明します。
② 治療開始
② 治療開始
Icon®(アイコン)治療は1回2時間程度で終了します。日にちを空けて一度経過を拝見します。
ホワイトニング併用の場合はIcon®(アイコン)治療の前にホームホワイトニング材の使用法の説明とお渡しを行い、治療開始後2回目にIcon®(アイコン)治療を行います。
当院では、ホワイトスポットが
無くなるまで何度でも再治療します。
Icon®(アイコン)治療のみで
治療した症例
1. 先行乳歯の外傷による
ホワイトスポットの症例
ラバーダム防湿を行い、歯面清掃後、Icon®(アイコン)を使用して治療を行いました。


| 主訴 | 前歯を削らずに治したい。 |
|---|---|
| 治療期間 | 1回(経過観察を含めて2回) |
| 治療費 | Icon®(アイコン)治療 110,000円x2=220,000円 合計 220,000円(税込) |
| 治療のリスク | 経年的に着色することがあります。 長期経過後はホワイトスポットが後戻りする可能性があります。 |
2. 先行乳歯の外傷による
ホワイトスポットの症例
ラバーダム防湿を行い、歯面清掃後、Icon®(アイコン)を使用して治療を行いました。


| 主訴 | 前歯2本ともホワイトスポットがあり、削らない治療法を探していた。 |
|---|---|
| 治療期間 | 1回(経過観察を含めて2回) |
| 治療費 | Icon®(アイコン)治療 110,000円x2=220,000円 合計 220,000円(税込) |
| 治療のリスク | 経年的に着色することがあります。 長期経過後はホワイトスポットが後戻りする可能性があります。 |
Icon®(アイコン)治療と
医療ホワイトニングを
組み合わせた症例
1. MIHによるホワイトスポット
/ブラウンスポット
MIHによるブラウンスポット(ホワイトスポット内に着色を伴うもの)と診断。
過酸化水素6%の高濃度ホームホワイトニングにより着色を除去後、Icon®(アイコン)治療を行いました。


| 主訴 | エナメル質形成不全(MIH)を削らずに治したい。 |
|---|---|
| 治療期間 | 1ヶ月(4回来院) |
| 治療費 |
高濃度ホームホワイトニング 44,000円 Icon®(アイコン)治療 110,000円x2=220,000円 合計 264,000円(税込) |
| 治療のリスク | 経年的に着色することがあります。 長期経過後はホワイトスポットが後戻りする可能性があります。 |
歯の茶色いシミ
“ブラウンスポット”とは?
原因と治療法を解説
ブラウンスポットとは
ブラウンスポットは、エナメル質形成不全(外傷、歯のフッ素症、MIHなど)によるホワイトスポットのスポンジ状の歯の中に色素が入り込んだ状態です。歯が生えた時からブラウンスポットになっていることもあれば、歯が生えた時にはホワイトスポットだったのが後から色素が入り込んでブラウンスポットになってしまうこともあります。
学術用語としてはbrownish opacity,黄色味が強い物は yellowish opacityと呼ばれます。日本語訳では、院長が論文において褐色斑と命名しました。虫歯による茶色のシミはあくまで虫歯であり、ブラウンスポットとは呼びません。
虫歯が出来やすい場所は決まっており、歯の根本(歯茎の近く、歯頸部)、歯と歯の間(隣接面)、奥歯の咬む所(咬合面)の三箇所で、これらをう蝕好発部位と呼びます。例外もありますが、う蝕好発部位の茶色い部分は虫歯、そうでない場所(前歯の表面など)にある茶色いシミはブラウンスポットであることが多いです。
ブラウンスポットの主な原因
初期むし歯の場合も、ブラウンスポットの場合も、色が付く原理は同じです。初期むし歯が進行したり経過が長くなったりすると、空洞化したエナメル質の中に飲食物の色素が入り込んで茶色くなったり黒くなったりします。ブラウンスポットは、エナメル質形成不全(外傷、歯のフッ素症、MIHなど)の場合のホワイトスポットに色素が入り込んだ状態です。
歯が生えた時から色が付いている場合は、エナメル質を作るタンパク質が変性したものだと言われています。歯が生えた時にはホワイトスポットだったものが後から色がついた場合、飲食物の色素が入り込んでいると言われています。
ブラウンスポットの治療法
ブラウンスポット治療の前に、ホワイトニングで色素を取り除く必要があります。
またIcon®︎(アイコン)治療の最中に、次亜塩素酸ナトリウムを使用して更に着色を除去することもあります。
ホワイトスポット・
ブラウンスポット治療
(Icon®(アイコン))
のよくある質問
Q. ホワイトスポットは
治した方が良いですか?
厳密には、健全な歯のエナメル質よりも虫歯になりやすいと言われています。しかし前歯の表側に出来ている場合、歯ブラシが届く部位なので虫歯が進行することは非常に稀なので、見た目が気にならなければ治療の必要はありません。
見た目が気になったり、重度の形成不全で歯がしみたりする場合は治療が必要です。
Q. ブラウンスポットと
虫歯の違いは?
着色する原理は同じで、空洞化したエナメル質の中に色素が入り込んで色が着きます。むし歯は細菌の産生する酸によって歯が溶けることで発症しますが、溶けた部分の歯はいきなり穴が開くのではなくまず空洞化(脱灰)します。ここに着色をするのがむし歯による茶色いシミです。
ブラウンスポットはエナメル質形成不全(外傷、歯のフッ素症、MIHなど)によって歯が作られた時から空洞化してしまっているホワイトスポットに着色しています。
Q. ブラウンスポットと
着色の違いは?
歯の表面の着色(ステイン)も飲食物内の色素が沈着したものですが、表面ですのでクリーニングをすれば除去出来ます。
ブラウンスポットの色素は歯の内部に入り込んでしまっているので、ホワイトニングを行わないと除去できません。
Q. Icon®(アイコン)治療は
年齢制限はありますか?
決まった年齢制限はありませんが、お子様のホワイトスポット治療の場合には以下の注意点がございます。
子どものホワイトスポットの治療時期や注意点
お子さんの場合には、特に歯を保存する処置を選択します。
初期むし歯の場合には、フッ化物応用で治ることを期待するのが第一選択です。フッ化物が奏功しない場合、なるべく歯を削らないIcon®︎(アイコン)治療を検討します。
エナメル質形成不全の場合にはフッ化物応用では見た目は改善しませんので、見た目を改善したい場合には最初からIcon®︎(アイコン)治療を選択します。歯は、生えた時には実はまだ表面は完成していません。まだ柔らかく酸に弱い状態で、生えてから唾液のリンやカルシウム、歯磨き粉のフッ素などを取り込んで約3年かけて完成します。
Icon®︎(アイコン)治療を、この歯の成熟段階で行ってしまうとその後成熟を妨げてしまうので、歯が生えてから3年以上経ってから治療することをおすすめしています。また、Icon®︎(アイコン)治療ではラバーダム防湿が必要であったり治療時間が長くなったりするので、歯が生えてから3年後かつ歯医者さんに慣れていて長時間の治療が可能になってからの治療をおすすめします。
以上から、患者さんによりますが小学校中学年程度から適応になってくると思われます。
Q. Icon®(アイコン)治療は
妊娠中でもできますか?
妊娠中の方には安全性が確立されておらず、また緊急性が低いため原則的に禁忌となっております。
Q. Icon®(アイコン)治療は
痛みを感じますか?
Icon®(アイコン)の材料そのものでは痛みは感じませんが、ラバーダム防湿法で金属のツメや糸で歯茎を圧迫する痛みを感じることがあります。
そのような場合には必要に応じて麻酔を使用します。
Q. Icon®(アイコン)治療にかかる期間はどのくらいですか?
Icon®(アイコン)治療は通常1回で終わります。ホワイトニングを併用する場合は、ホワイトニングのための来院が1回とご自宅でのホワイトニングが2週間程度追加されます。着色が強い場合には、ホワイトニングの期間が延びる場合があります。また稀に1回目のIcon®(アイコン)治療の効果が薄かった場合、再治療を行います。
Q. Icon®(アイコン)治療の治療時間はどのくらいですか?
目安として1歯の場合90分、その後1歯追加ごとに30分追加してお時間を頂戴しております。(2歯で120分、3歯で150分)但し症例により、軽度の場合は短く重度の場合は長くなることがございます。
Q. Icon®(アイコン)治療が受けられないケースはありますか?
基本的には全てのホワイトスポット・イエロースポット・ブラウンスポットの治療が可能です。しかし重症の場合には、完全にはホワイトスポット・イエロースポット・ブラウンスポットが消えない場合がございます。
Q. Icon®(アイコン)治療終了後に起きる可能性のある問題はありますか?
術後わずかにホワイトニングが効きにくくなること、長期的には分解してホワイトスポットが後戻りすることが考えられます。
難症例でも対応可能
歯を削る前に一度ご相談ください

上野品川歯科・矯正歯科では、歯を削らないホワイトスポット治療の豊富な実績がございます。また、歯科医師向けに削らないホワイトスポット治療のセミナーなども実施させていただいております。
他院で相談した際にダイレクトボンディングやラミネートべニアなどの治療を勧められた方は、削る前にぜひ一度当院へご相談ください。










